Wolfram Language
Paclet Repository
Community-contributed installable additions to the Wolfram Language
Primary Navigation
Categories
Cloud & Deployment
Core Language & Structure
Data Manipulation & Analysis
Engineering Data & Computation
External Interfaces & Connections
Financial Data & Computation
Geographic Data & Computation
Geometry
Graphs & Networks
Higher Mathematical Computation
Images
Knowledge Representation & Natural Language
Machine Learning
Notebook Documents & Presentation
Scientific and Medical Data & Computation
Social, Cultural & Linguistic Data
Strings & Text
Symbolic & Numeric Computation
System Operation & Setup
Time-Related Computation
User Interface Construction
Visualization & Graphics
Random Paclet
Alphabetical List
Using Paclets
Create a Paclet
Get Started
Download Definition Notebook
Learn More about
Wolfram Language
LLMFunctions
Symbols
ChatEvaluate
ChatObject
CreateChat
ImageSynthesize
LLMSynthesize
TextSynthesize
[
EXPERIMENTAL
]
I
m
a
g
e
S
y
n
t
h
e
s
i
z
e
I
m
a
g
e
S
y
n
t
h
e
s
i
z
e
[
t
e
x
t
]
g
e
n
e
r
a
t
e
s
a
n
i
m
a
g
e
b
a
s
e
d
o
n
t
h
e
t
e
x
t
u
a
l
d
e
s
c
r
i
p
t
i
o
n
t
e
x
t
.
I
m
a
g
e
S
y
n
t
h
e
s
i
z
e
[
i
m
a
g
e
]
g
e
n
e
r
a
t
e
s
a
n
e
w
i
m
a
g
e
b
a
s
e
d
o
n
i
m
a
g
e
.
I
m
a
g
e
S
y
n
t
h
e
s
i
z
e
[
s
p
e
c
,
n
]
g
e
n
e
r
a
t
e
s
n
i
m
a
g
e
s
b
a
s
e
d
o
n
t
h
e
s
p
e
c
i
f
i
c
a
t
i
o
n
s
p
e
c
.
D
e
t
a
i
l
s
a
n
d
O
p
t
i
o
n
s
Examples
(
1
4
)
Basic Examples
(
3
)
Generate a Monet-like painting:
I
n
[
1
]
:
=
I
m
a
g
e
S
y
n
t
h
e
s
i
z
e
[
"
A
p
a
i
n
t
i
n
g
o
f
a
r
a
m
i
n
t
h
e
s
t
y
l
e
o
f
M
o
n
e
t
"
]
O
u
t
[
1
]
=
Generate three variation of the same image:
I
n
[
1
]
:
=
I
m
a
g
e
S
y
n
t
h
e
s
i
z
e
,
3
O
u
t
[
1
]
=
,
,
Generate several images using the same prompt:
I
n
[
1
]
:
=
I
m
a
g
e
S
y
n
t
h
e
s
i
z
e
[
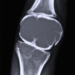
"
M
R
I
s
c
a
n
o
f
a
k
n
e
e
"
,
3
]
O
u
t
[
1
]
=
,
,
S
c
o
p
e
(
5
)
O
p
t
i
o
n
s
(
6
)
S
e
e
A
l
s
o
S
p
e
e
c
h
S
y
n
t
h
e
s
i
z
e
▪
R
a
n
d
o
m
I
m
a
g
e
▪
C
o
n
s
t
a
n
t
I
m
a
g
e
H
i
s
t
o
r
y
I
n
t
r
o
d
u
c
e
d
i
n
2
0
2
3
(
1
3
.
3
)
"
"