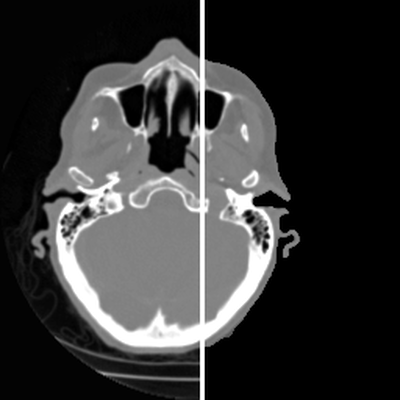
Remove Background Features from a CT Scan

Use segmentation and segment selection techniques to remove background features from an image

See Also

Publisher Information